Overslaan en naar de inhoud gaan

Parodontitis

Parodontitis is een ernstige aandoening in de mond waarbij niet alleen je tandvlees, maar ook het kaakbot ontstoken is. Wanneer dit niet wordt behandeld, kan dit leiden tot tandverlies. Lees meer over de oorzaken van parodontitis en hoe je het kunt voorkomen en behandelen.

VITIS Gezond Tandvlees bij parodontitis

Parodontitis

Wat is parodontitis?

Parodontitis is een ernstige aandoening in de mond, maar ontstaat niet van de ene op de andere dag. Het begint met een ontsteking aan het tandvlees: gingivitis. Wanneer dit niet wordt behandeld, zal de ontsteking zich uitbreiden naar het kaakbot. Dan spreek je van parodontitis. Bacteriën in tandplaque en tandsteen -wat ook vaak de veroorzakers van gingivitis zijn- kunnen verder uitbreiden in de pockets. Dit is de ruimte tussen je tand en het tandvlees. De ontsteking tast de vezels in de pocket aan, waardoor deze ontsteking nóg dieper wordt en er nog meer tandplaque in de pocket kan komen. Het kaakbot wordt afgebroken. Het “parodontium” (de tandheelkundige benaming voor het “ophangsysteem” in je mond) is beschadigd en zal zijn werk niet meer kunnen doen. Gevolg? De tand heeft geen houvast meer en zal uitvallen. 

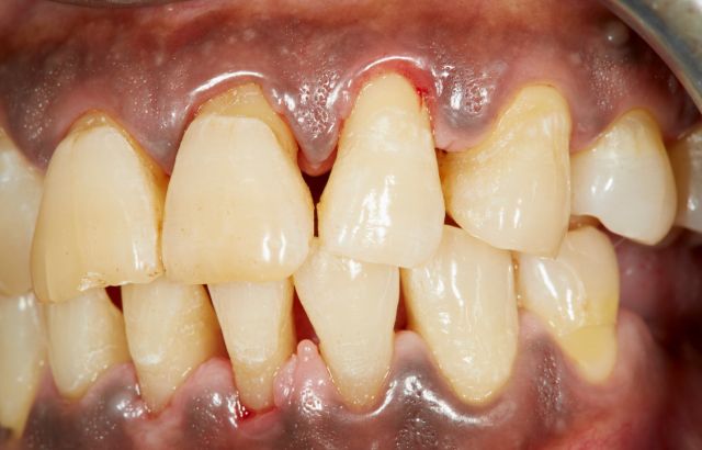
Symptomen van parodontitis

Parodontitis is in de meeste gevallen pas in een vergevorderd stadium te herkennen. Er zijn verschillende symptomen en verschijnselen wanneer er sprake kan zijn van parodontitis:

  • Rood en/of gezwollen tandvlees
  • Bloedend tandvlees
  • Teruggetrokken tandvlees
  • Stinkende adem
  • Loszittende tanden
  • Pijn bij het kauwen
  • Pus tussen de tanden en het tandvlees
  • Metaalsmaak in de mond
  • Verandering in beet of ruimtes tussen de tanden

VITIS Gezond Tandvlees

De meest complete formule voor de verzorging en bescherming van tanden en tandvlees.

Met een goede dagelijkse mondverzorging en producten met actieve ingrediënten, verminder je de kans op gingivitis of parodontitis.

  • Gaat tandvleesproblemen, zoals gevoelig tandvlees, effectief tegen
  • Voor sterk en gezond tandvlees
  • Vermindert de vorming van tandplaque
  • Beschermt tegen cariës (gaatjes)
  • Wetenschappelijk bewezen effectief

De VITIS Gezond Tandvlees producten zijn te koop bij apotheken, drogisterijen en online bij o.a.: 

Bestel bij Etos Bestel bij Plein 

roken kan parodontitis veroorzaken

De oorzaak van parodontitis

Hoe ontstaat parodontitis? Parodontitis is altijd een gevolg van gingivitis. De ontsteking, die begint in het tandvlees, kan meerdere oorzaken hebben.

Slechte mondhygiëne 

Tandvleesproblemen ontstaan vaak door een slechte mondhygiëne. Etensresten die achter blijven in de mond kunnen tandplaque en op den duur tandsteen veroorzaken. Dit zit vaak aan de randen van de tand, dus tegen het tandvlees aan. Of de etensresten komen zelfs onder het tandvlees te zitten. Dit kan leiden tot infecties en ontstekingen. Zorg dus voor een goede mondhygiëne om problemen te voorkomen.

Roken 

Door te roken, vernauwen je bloedvaten en verslechtert de doorbloeding van het tandvlees. Je krijgt een slechtere mondweerstand en je wordt vatbaarder voor infecties en ontstekingen aan het tandvlees. Door de slechte doorbloeding merk je dat vaak te laat.

Medische factoren 

Er zijn verschillende medische oorzaken die het risico op parodontitis kunnen verhogen. Denk hierbij aan het gebruik van bepaalde medicijnen, als je diabetes hebt of als je lichaam veranderingen doormaakt onder invloed van hormonen, zoals bijvoorbeeld tijdens een zwangerschap. 

Stress 

Er is een verband tussen stress en parodontitis. Stress kan het immuunsysteem beïnvloeden en ontstekingsreacties in het lichaam verergeren. Een studie uit 2012 in de Journal of Periodontal Research vond een verband tussen werkgerelateerde stress en de ernst van parodontale aandoeningen.

Parodontitis voorkomen

Parodontitis voorkomen is beter dan parodontitis behandelen. Maar, het is het allerbelangrijkste om in actie te komen wanneer je symptomen van de voorloper van parodontitis, namelijk gingivitis hebt gesignaleerd: geïrriteerd, rood, bloedend of gezwollen tandvlees. Door gingivitis tijdig te behandelen, voorkom je dat dit zich kan ontwikkelen tot parodontitis. Maak bovendien gebruik van de volgende tips:

  • Verzorg je tandvlees goed met de juiste producten
  • Gebruik mondspoeling
  • Stop met roken
  • Ga regelmatig naar de tandarts en/of mondhygiënist

VITIS Gezond Tandvlees bij parodontitis

De beste producten tegen parodontitis

Voorkom parodontitis door te zorgen voor een goede mondhygiëne. Gebruik de producten van VITIS voor dagelijkse verzorging van gevoelig en kwetsbaar tandvlees. 

Veelgestelde vragen over parodontitis

+ Wat is het verschil tussen gingivitis en parodontitis? 

Wanneer je een ontsteking hebt aan het oppervlak van je tandvlees, spreek je van gingivitis. Laat je dit niet behandelen, kan de ontsteking uitbreiden naar het kaakbot. Dan spreek je van parodontitis. 

+ Wat kan ik doen om parodontitis te voorkomen? 

Je kunt parodontitis voorkomen door tijdig in actie te komen, wanneer je een beginnende ontsteking aan je tandvlees hebt. Zorg voor een goede mondhygiëne en laat de tandarts of mondhygiënist het tandplaque of tandsteen verwijderen.  Zie ook Gingivitis voorkomen en behandelen.

+ Is parodontitis te behandelen? 

Het is te behandelen, maar het is essentieel dat je dit zo snel mogelijk laat doen. Je tandarts of mondhygiënist zal je verwijzen naar een parodontoloog.